암진단 사례

아산유외과
암진단 사례입니다.

내용보기
아산유외과 개원후 511번째 유방암진단
작성자 관리*** 등록일 2017-11-07 15:25:13 조회수 776
첨부파일 첨부파일 없음


 

 

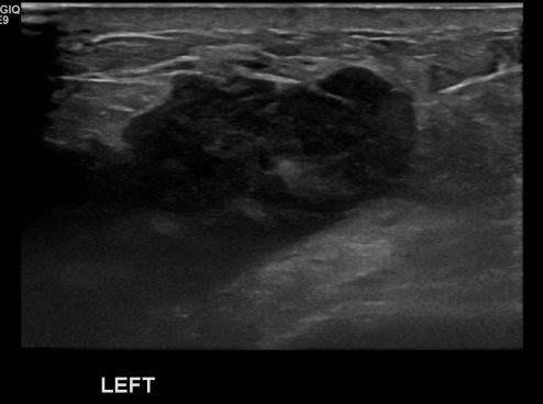
     상기환자 좌측 유방의 멍울로 내원하신 60대 여성분으로 좌측 만져지는 멍울

  조직검사 시행하여 좌측 침윤성 유관암 진단되었습니다. 

 

0개의 코멘트가 있습니다.