암진단 사례

아산유외과
암진단 사례입니다.

내용보기
아산유외과 개원후 507번째 유방암진단
작성자 관리*** 등록일 2017-11-02 18:08:40 조회수 787
첨부파일 첨부파일 없음


 

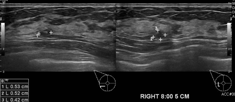
      양측 만져지는 멍울로 내원하신 30대 여성분으로 본원 유방초음파 시행후  우측 8시

 방향에서 8cm 떨어진 거리의 멍울 조직검사 시행하여   우측 유관암 진단 되었습니다.     

0개의 코멘트가 있습니다.