암진단 사례

아산유외과
암진단 사례입니다.

내용보기
아산유외과 개원후 503번째 유방암진단
작성자 관리*** 등록일 2017-10-26 16:53:00 조회수 774
첨부파일 첨부파일 없음


 

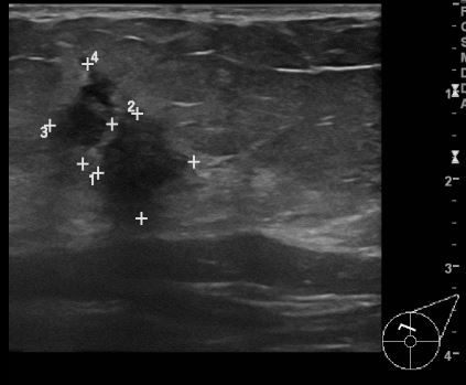
      상기환자 좌측 유방에 만져지는 멍울로 내원하신 50대 여성분으로 좌측유방 만져지는

  멍울 조직검사 시행하여 좌측 유관암 진단 되었습니다.

 

 

0개의 코멘트가 있습니다.