암진단 사례

아산유외과
암진단 사례입니다.

내용보기
아산유외과 개원후 501번째 유방암진단
작성자 관리*** 등록일 2017-10-18 18:21:33 조회수 847
첨부파일 첨부파일 없음


 

 

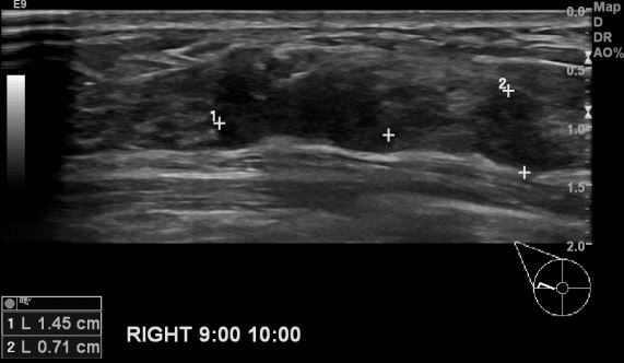
         상기환자 건강검진상 이상소견으로 내원하신 40대 여성분으로 우측 9:00 ~10:00 시

    방향에 의심스러운 멍울 조직검사 시행하여 우측 침윤성 유관암 진단 되었습니다. 

0개의 코멘트가 있습니다.