암진단 사례

아산유외과
암진단 사례입니다.

내용보기
아산유외과 개원후 500번째 유방암진단
작성자 관리*** 등록일 2017-10-14 12:43:01 조회수 803
첨부파일 첨부파일 없음

 

 

 

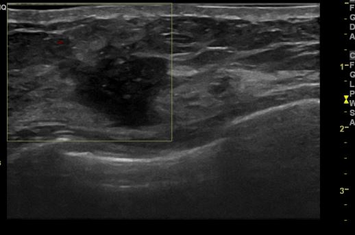
        상기환자 간헐적인 유방의 통증으로 내원하신 50대 여성분으로 우측 3시 방향의 의심

  스러운 멍울 조직검사 시행하여 우측 침윤성 유관암 진단 되었습니다.


 

0개의 코멘트가 있습니다.