암진단 사례

아산유외과
암진단 사례입니다.

내용보기
아산유외과 개원 후 32번째 유방암 진단.
작성자 관리*** 등록일 2014-10-17 14:25:12 조회수 763
첨부파일 첨부파일 없음





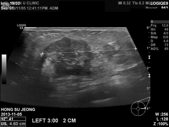
건강검진으로 유방엑스레이 촬영중에 촬영기사분께서





좌측유방에 혹이 크게 만져지는 것을 발견하시고 말씀해주셔 

 

초음파검사위해 본원에 내원하신
41
여자분이십니다
.

 

초음파검사결과 좌측유방에 4cm 가 넘는
혹이있었고
,

겨드랑이 임파절에도
전이소견보여 조직검사를 시행하였습니다
.

조직검사결과 침윤성유방암 및
겨드랑이 임파절


전이성 유방암으로 진단되어 치료예정이십니다.
 
자가검진을 꾸준히 하시다보면
1cm 정도 크기의 혹들은
손으로 만져지기 때문에

 

병원에 오는 시기를 좀 더 앞당길 수
있습니다
.

 

월경이 끝날 무렵 유방이
부드러워지는 시기에




날을 정해놓고 자가검진을 하시길 권해드립니다.

 

환자분의 빠른쾌유를
기도합니다
. 감사합니다.



0개의 코멘트가 있습니다.