암진단 사례

아산유외과
암진단 사례입니다.

내용보기
아산유외과 개원후 496번째 유방암진단
작성자 관리*** 등록일 2017-09-22 15:24:35 조회수 843
첨부파일 첨부파일 없음


 

 

 

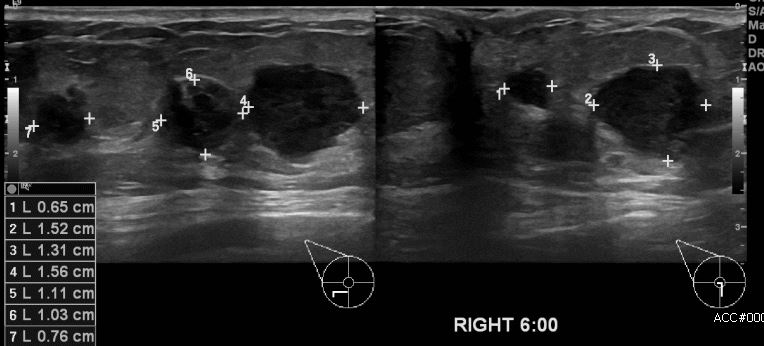
       우측유방에 멍울로 내원하신 70대 환자 분으로 우측유방 6시 방향에 의심스러운 멍울

 조직검사 시행하여 추측 침윤성 유관암 진단 되었습니다.

 

 

0개의 코멘트가 있습니다.