암진단 사례

아산유외과
암진단 사례입니다.

내용보기
아산유외과 개원후 492번째 유방암진단
작성자 관리*** 등록일 2017-09-08 17:41:30 조회수 925
첨부파일 첨부파일 없음


 

 

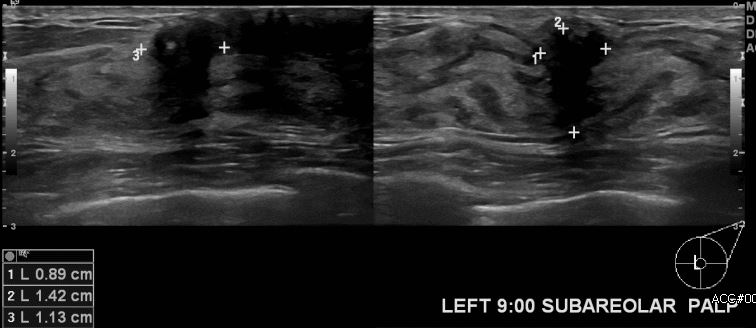
     상기환자  우측유방의 결절로 내원하신 50대 여성분으로 타원에서 해마다 건강검진으로

  추적해오던 중 좌측 9시 유륜부 근처 새로  만져지는 멍울 조직검사 시행하여 좌측 침윤성소엽암 진단되었습니다. 

 

0개의 코멘트가 있습니다.