암진단 사례

아산유외과
암진단 사례입니다.

내용보기
아산유외과 개원후 490번째 유방암진단
작성자 관리*** 등록일 2017-08-30 13:01:10 조회수 822
첨부파일 첨부파일 없음


 

 

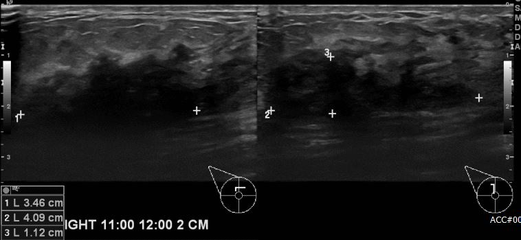
  상기환자 우측 유방에 멍울로 내원하신 60대 여성분으로 우측 유방 11시~12시 방향에서

 2cm 떨어진 거리의 멍울 조직검사 시행하여 우측 유관암 진단 되었습니다.

  

 

0개의 코멘트가 있습니다.