암진단 사례

아산유외과
암진단 사례입니다.

내용보기
아산유외과 개원후 489번째 유방암진단
작성자 관리*** 등록일 2017-08-30 10:41:37 조회수 798
첨부파일 첨부파일 없음

 

 

 

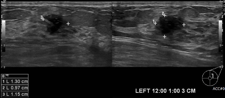
       상기환자 좌측 유방에 만져지는 멍울로 내원하신 30대 여성분으로 좌측 12시~1시

방향에서 3cm 떨어진 거리에 만져지는 멍울 조직검사 시행하여 좌측 침윤성 유관암

진단되었습니다.
 

0개의 코멘트가 있습니다.