암진단 사례

아산유외과
암진단 사례입니다.

내용보기
아산유외과 개원후 486번째 유방암진단
작성자 관리*** 등록일 2017-08-07 15:00:13 조회수 832
첨부파일 첨부파일 없음


 

 

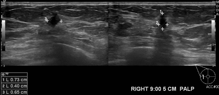
      상기환자 건강검진상 이상 소견으로 내원하신 50대 여성분으로 우측 9시 방향에서

     5 cm 떨어진 거리에 만져지는 멍울 조직검사 시행하여 우측 침윤성 유관암 진단되었습  

    니다.  

0개의 코멘트가 있습니다.