암진단 사례

아산유외과
암진단 사례입니다.

내용보기
아산유외과 개원후 485번째 유방암진단
작성자 관리*** 등록일 2017-08-02 15:12:07 조회수 814
첨부파일 첨부파일 없음


 

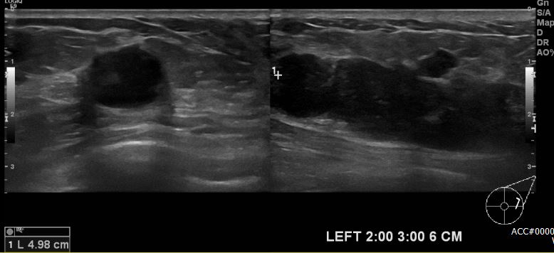
      상기환자 좌측 유방에 만져지는 멍울로 내원하신 50대 여성분으로 좌측 2시에서 3시

방향에서 6cm 떨어진 거리에 만져지는 멍울 조직검사 시행하여 좌측 침윤성 유관암

진단되었습니다. 

 

0개의 코멘트가 있습니다.