암진단 사례

아산유외과
암진단 사례입니다.

내용보기
아산유외과 개원후 484번째 유방암진단
작성자 관리*** 등록일 2017-07-28 17:14:20 조회수 783
첨부파일 첨부파일 없음


 

 

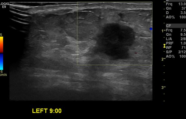
       상기환자 좌측 유방에 멍울로 내원하신 60대 여성분으로 좌측유방 9시 방향에

     만져지는 멍울 조직검사 시행하여 좌측 침윤성 유관암 진단 되었습니.

   

 

0개의 코멘트가 있습니다.