암진단 사례

아산유외과
암진단 사례입니다.

내용보기
아산유외과 개원후 483번째 유방암진단
작성자 관리*** 등록일 2017-07-26 18:10:30 조회수 802
첨부파일 첨부파일 없음


 

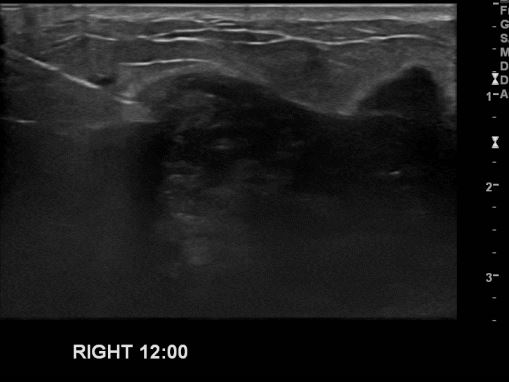
     상기환자 유방에 만져지는 멍울로 내원하신 50대 여성분으로 우측 12시 방향에 만져지는 멍울 조직검사 시행하여 우측 침윤성 유관암 진단 되었습니다. 

    

0개의 코멘트가 있습니다.