
건강검진으로 시행한
유방촬영에서 치밀유방 소견이 보인다고
초음파 검사위해 내원하신
50세
여자분이십니다.
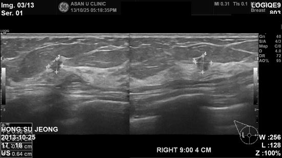
초음파검사에서 우측유방에
0.6cm 혹이 있어 조직검사를 시행하였으며,
침윤성 유방암으로
진단되었습니다.
유방에 멍우리가 만져져서
알게되는 분들도 있지만, 이처럼 치밀유방이라서
엑스레이에 숨어있는 혹이
초음파로 발견되는 경우가
있습니다.
그러므로, 유방에 혹이 있는
분들이 정기적으로 추적관찰을 하시는 것 처럼,
치밀유방 소견이 있는 분들
또한 유방초음파로
정확히 혹의 여부를 확인하는 것이 필요합니다.
환자분의 빠른 쾌유를
기도합니다. 감사합니다.