암진단 사례

아산유외과
암진단 사례입니다.

내용보기
아산유외과 개원후 478번째 유방암진단
작성자 관리*** 등록일 2017-07-07 16:26:11 조회수 803
첨부파일 첨부파일 없음


 

 

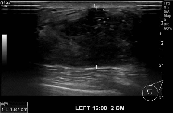
   상기환자 좌측 유방에 만져지는 멍울로 내원하신 40대 여성분으로 본원 유방초음파 후

  좌측 12시 방향에 만져지는 멍울 조직검사 시행하여 좌측 유관암 진단되었습니다. 

0개의 코멘트가 있습니다.