암진단 사례

아산유외과
암진단 사례입니다.

내용보기
아산유외과 개원후 475번째 유방암진단
작성자 관리*** 등록일 2017-06-26 12:09:31 조회수 808
첨부파일 첨부파일 없음

 

 

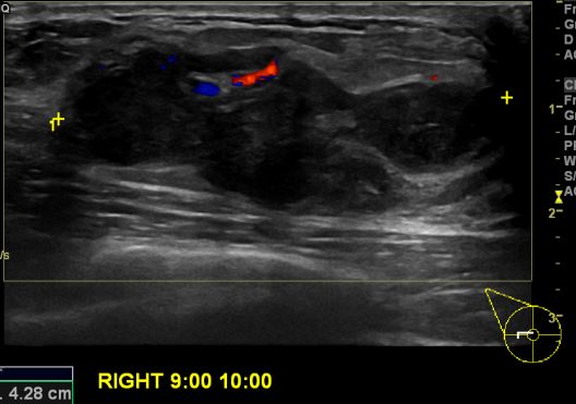
    상기환자 우측 유방에 만져지는 멍울로 내원하신 40대 여성분으로 우측 9시에서10시

 방향에 만져지는 멍울 조직검사 시행하여 우측 침윤성 유관암 진단 되었습니다.
       

0개의 코멘트가 있습니다.