
2009년도에 좌측유방에
상피내암 (0기암)으로 보존수술 받으신 분으로
금년10월에 시행한
PET (양전자단층촬영)검사상
수술하신 좌측가슴 유방에
이상소견이 있어 검사 의뢰받고 내원하신 49세 여자
분이십니다.
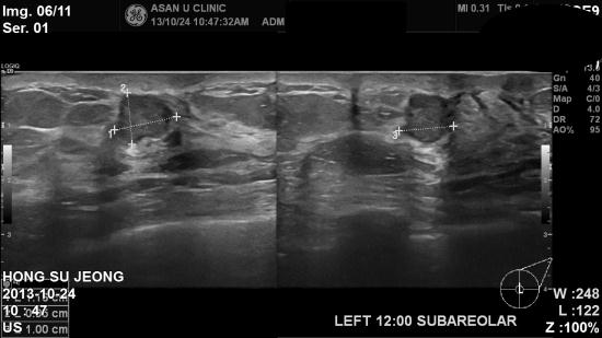
본원 초음파상 좌측유방에
1.16 cm 혹이있어 조직검사
시행하여
침윤성 유방암으로
진단되었습니다.
초기에 예후가 매우 좋은
0기암이라도 재발 가능성이 있다는 경각심을 보여주는 증례입니다.
방심은 금물, 꾸준한
검진이 필수 입니다.
환자분의 빠른쾌유를
기도합니다. 감사합니다.