암진단 사례

아산유외과
암진단 사례입니다.

내용보기
아산유외과 개원후 469번째 유방암진단
작성자 관리*** 등록일 2017-06-09 15:41:46 조회수 825
첨부파일 첨부파일 없음


 

 

 

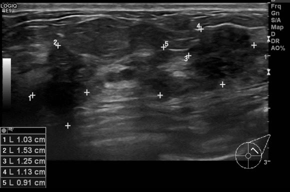
     상기환자 40대 여성분으로 우측 겨드랑이 통증으로 내원하시여 유방 초음파 시행 후

 좌측 1:00 ~2:00 시 방향에서 의심되는 멍울 조직검사 시행하여 좌측 침윤성 유관암

 진단되었습니다. 

 

0개의 코멘트가 있습니다.