암진단 사례

아산유외과
암진단 사례입니다.

내용보기
아산유외과 개원후 467번째 유방암진단
작성자 관리*** 등록일 2017-05-29 11:58:35 조회수 788
첨부파일 첨부파일 없음

 

 

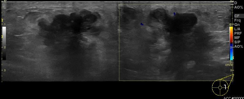
      상기환자 좌측에 만져지는 멍울로 내원하신 50대 여성분으로 좌측 만져지는 멍울

  중심핵생검 시행하여 좌측 침윤성 유관암 진단 되었습니다. 


 

0개의 코멘트가 있습니다.