암진단 사례

아산유외과
암진단 사례입니다.

내용보기
아산유외과 개원후 464번째 유방암진단
작성자 관리*** 등록일 2017-05-20 12:43:57 조회수 801
첨부파일 첨부파일 없음

 

 

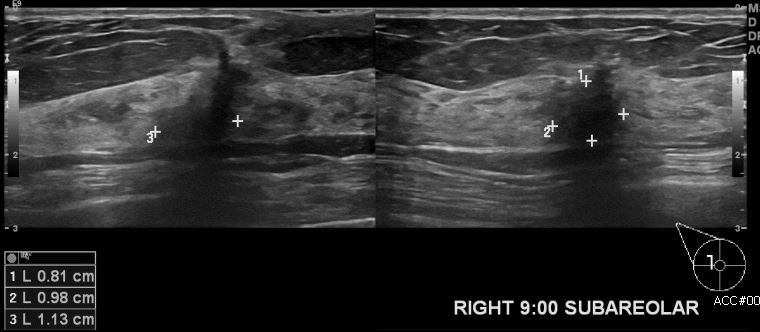
       상기환자 우측 유방에 만져지는 멍울로 내원하신 50대 여성 분으로 유방 초음파

 시행 후 우측 9시 방향 유두 밑 부분 조직검사 시행하여 우측 침윤성 유관암 진단되었습니다.        

 

     
 

0개의 코멘트가 있습니다.