암진단 사례

아산유외과
암진단 사례입니다.

내용보기
아산유외과 개원후 457번째 유방암진단
작성자 관리*** 등록일 2017-04-25 12:38:23 조회수 793
첨부파일 첨부파일 없음

 

 

 

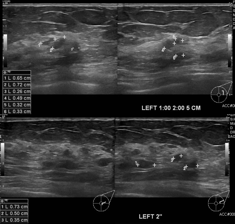
     건강검진상 이상 소견으로 내원하신 70대 여성분으로  좌측 유방에 의심 스러운 부분

조직검사 시행하여 좌측 유관암 진단 되었습니다.
 

0개의 코멘트가 있습니다.