암진단 사례

아산유외과
암진단 사례입니다.

내용보기
아산유외과 개원후 455번째 유방암진단
작성자 관리*** 등록일 2017-04-13 14:35:05 조회수 842
첨부파일 첨부파일 없음


 

 

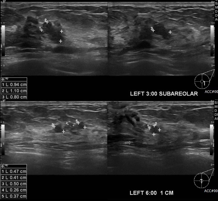
    좌측 유방에 분비물로 내원하신 40대 여성 분으로 유방 초음파 시행 후 좌측 3시 유두및과 좌측 6방향에서 1cm 떨어진 거리에 의심 스러운 혹 각각 조직검사 시행하여  좌측 유관암 진단 되었습니다. 

 

0개의 코멘트가 있습니다.