암진단 사례

아산유외과
암진단 사례입니다.

내용보기
아산유외과 개원후 454번째 유방암진단
작성자 관리*** 등록일 2017-04-03 15:55:14 조회수 826
첨부파일 첨부파일 없음

 

 

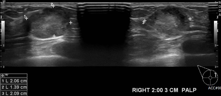
   상기환자 우측 만져지는 멍울로 내원하신 40대 여성 분으로 우측 2시 방향에서 3cm 떨어진 거리의 만져지는 멍울 조직검사 시행하여 우측 점액성 침윤암 진단

되었습니다. 

0개의 코멘트가 있습니다.