암진단 사례

아산유외과
암진단 사례입니다.

내용보기
아산유외과 개원후 35번째 갑상선암진단
작성자 관리*** 등록일 2017-03-31 17:13:36 조회수 802
첨부파일 첨부파일 없음


 

 

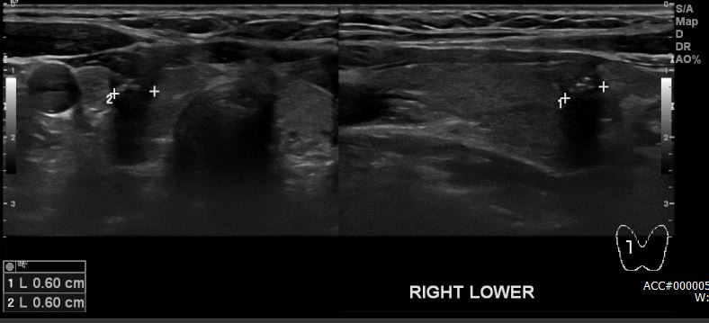
        상기환자 최근 급격히 피곤하고 , 붓고, 탈모 증상 있어 내원하신 40대 여성 분으로

  본원 갑상선 초음파상 우측갑상선 하부에 의심 스런 멍울 있어 세침검사 시행하여

 우측 갑상선 유두암 진단 되었습니다. 

0개의 코멘트가 있습니다.