암진단 사례

아산유외과
암진단 사례입니다.

내용보기
아산유외과 개원후 446번째 유방암진단
작성자 관리*** 등록일 2017-02-21 16:24:30 조회수 985
첨부파일 첨부파일 없음


 

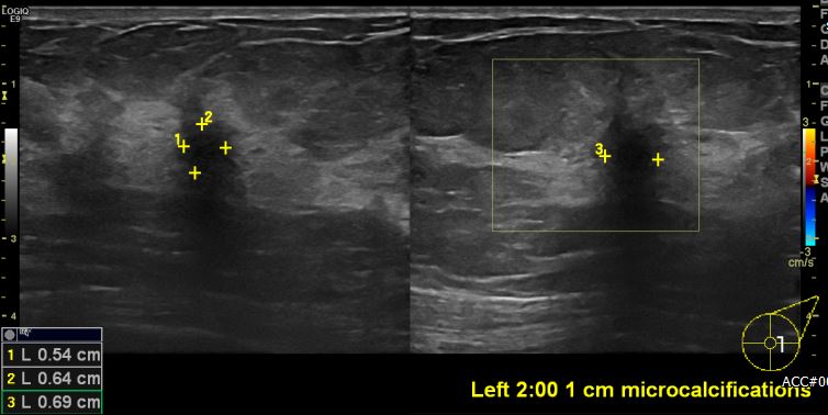
     상기환자 건강검진상 이상 소견으로 내원하신 60대 여성분으로 좌측 2시 방향에서

   1cm 떨어진 거리의 미세석회 포함된 의심스러운 멍울 조직검사 시행하여 좌측 유관암

 진단 되었습니다. 

 

0개의 코멘트가 있습니다.