암진단 사례

아산유외과
암진단 사례입니다.

내용보기
아산유외과 개원후 436번째 유방암진단
작성자 관리*** 등록일 2017-01-06 17:34:03 조회수 869
첨부파일 첨부파일 없음


 

 

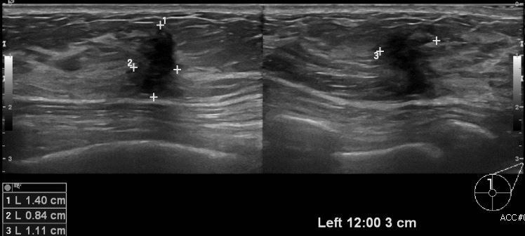
    상기환자 건강검진상 이상 소견으로 내원하신 40대 여성분으로 좌측 12시 방향에서

 3 cm 떨어진 거리의 혹 조직검사 시행하여 좌측 침윤성 유관암 진단 되었습니다. 

0개의 코멘트가 있습니다.