암진단 사례

아산유외과
암진단 사례입니다.

내용보기
아산유외과 개원 후 25번째 유방암 진단.
작성자 관리*** 등록일 2014-10-17 12:24:42 조회수 764
첨부파일 첨부파일 없음










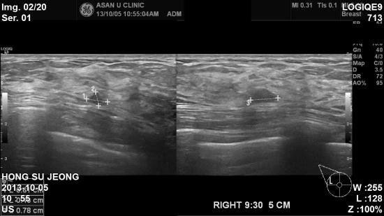
좌측유방에 만져지는 멍우리와 양쪽 유방에
통증이있어 내원하여 



음파 검사하신 26
여자분이십니다
.


초음파 검사결과 우측유방에 0.78 cm 의 혹이있어
조직검사 시행하였고,


유관상피내암으로
진단되셨습니다
.


만져지는 혹이 있다고해서 무조건
암은 아닙니다
.



만져지지 않는 작은 혹들
중에도 있을수 있습니다
.


한달에 한번 자가검진을 꾸준히 하시는게 제일
중요하고
,

증상이 있을시에 병원에 빨리
내원하여


검사를 받아보는 것이
좋습니다
.


환자분의 빠른쾌유를
기도합니다
. 감사합니다.

0개의 코멘트가 있습니다.