암진단 사례

아산유외과
암진단 사례입니다.

내용보기
아산유외과 개원후 432번째 유방암진단
작성자 관리*** 등록일 2016-12-23 18:33:48 조회수 783
첨부파일 첨부파일 없음


 

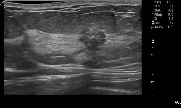
   상기환자 건강검진상 이상 소견으로 내원하신 60대 여성분으로  좌측 상외사분면의 의심스로운 혹 조직검사 시행하여 좌측 침윤성 유관암 진단 되었습니다.  

 

0개의 코멘트가 있습니다.