암진단 사례

아산유외과
암진단 사례입니다.

내용보기
아산유외과 개원후 418번째 유방암진단
작성자 관리*** 등록일 2016-10-13 15:52:44 조회수 801
첨부파일 첨부파일 없음


 

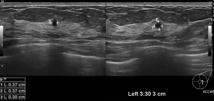
        상기 환자  건강검진상 이상 소견으로 내원하신 50대 여성분으로 좌측 3시 30분 방향에서 3cm 떨어진 거리의 혹 조직검사 시행하여 좌측 유관암 진단 되었습니다. 

 

0개의 코멘트가 있습니다.