암진단 사례

아산유외과
암진단 사례입니다.

내용보기
아산유외과 개원후 33번째 갑상선암진단
작성자 관리*** 등록일 2016-10-06 17:53:02 조회수 783
첨부파일 첨부파일 없음

 

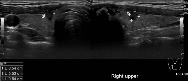
 건강검진상 결절소견으로 내원하신 30대 남자환자분으로 본원에서 초음파시행후

우측갑상선의 의심스런 0.6cm 결절을 액상흡인세포병리검사 실시하여 갑상선유두암

진단되셨습니다.

 

0개의 코멘트가 있습니다.