암진단 사례

아산유외과
암진단 사례입니다.

내용보기
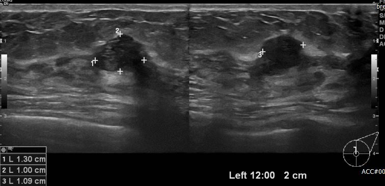
아산유외과 개원후 417번째 유방암진단
작성자 관리*** 등록일 2016-10-06 17:24:14 조회수 802
첨부파일 첨부파일 없음

 

 

 상기환자 좌측유방에 만져지는 혹있어 내원하신 40대 여자환자분으로 좌측 3시방향으로

의심스런 결절있어 중심핵생검 실시하여 제자리암 진단되셨습니다.

 

0개의 코멘트가 있습니다.