아산유외과의원
menu
icon1
온라인상담
icon2
온라인예약
icon3
오시는길
icon4
진료시간
icon1
로그인
icon2
회원가입
icon3
ID/비번찾기
원장소개
병원소개
맘모톰클리닉
유방암클리닉
갑상선클리닉
암진단사례
건강TV
home
암진단 사례
암진단 사례
아산유외과
암진단 사례
입니다.
내용보기
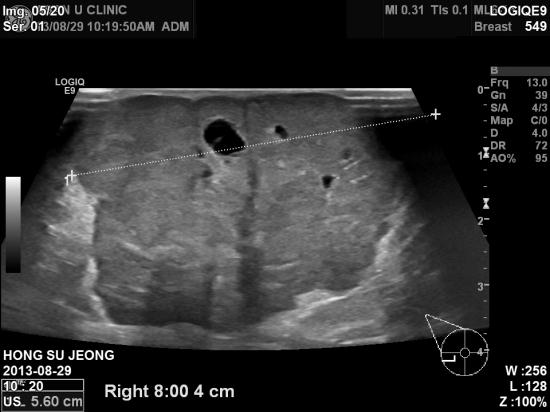
아산유외과 개원 후 21번째 유방암 진단.
작성자
관리***
등록일
2014-10-17 11:09:31
조회수
698
첨부파일
첨부파일 없음
3년동안 있던 유방에 혹이 피부바깥을 튀어나오며
커져 내원하셨다는 만 59세 여자분입니다.
조직검사로 우측 유방암의 피부, 우측 겨드랑이 전이를 확인하고
서울 아산병원전원하였습니다.
왜 이제야 오셨냐는 물음에 "안아파서" 라고 대답하시네요.
아프든 아프지 않든, 유방이나 몸에 없던 것이 만져지면
꼭 검사를 해보셔야 합니다.
인간이 나이들면서
프로그램에 에러가 난 세포들('악성세포')이 함께 자랄 수 있기 때문입니다.
감사합니다.
0개의 코멘트가 있습니다.
이름
제목
내용
검색
게시판 입니다
번호
제목
작성자
등록일
31
아산유외과 개원 후 23번째 유방암 진단.
관리***
2014.10.17
30
아산유외과 개원 후 22번째 유방암 진단.
관리***
2014.10.17
29
아산유외과 개원 후 21번째 유방암 진단.
관리***
2014.10.17
28
아산유외과 개원 후 20번째 유방암 진단.
관리***
2014.10.17
27
아산유외과 개원 후 19번째 유방암 진단.
관리***
2014.10.17
26
아산유외과 개원후 갑상선암 진단 7.
관리***
2014.10.17
25
아산유외과 개원후 갑상선암 진단 6.
관리***
2014.10.17
24
아산유외과 개원 후 18번째 유방암 진단.
관리***
2014.10.17
23
아산유외과 개원후 갑상선암 진단 5.
관리***
2014.10.17
22
아산유외과 개원후 갑상선암 진단 4.
관리***
2014.10.17
21
아산유외과 개원 후 17번째 유방암 진단.
관리***
2014.10.17
20
아산유외과 개원 후 16번째 유방암 진단.
관리***
2014.10.17
19
아산유외과 개원 후 15번째 유방암 진단.
관리***
2014.10.17
18
아산유외과 개원 후 14번째 유방암 진단.
관리***
2014.10.16
17
아산유외과 개원 후 13번째 유방암 진단.
관리***
2014.10.16
<<
61
62
63
64
65
66
67
68
69
70
>>