암진단 사례

아산유외과
암진단 사례입니다.

내용보기
아산유외과 개원후 412번째 유방암진단
작성자 관리*** 등록일 2016-09-19 15:13:45 조회수 808
첨부파일 첨부파일 없음


 

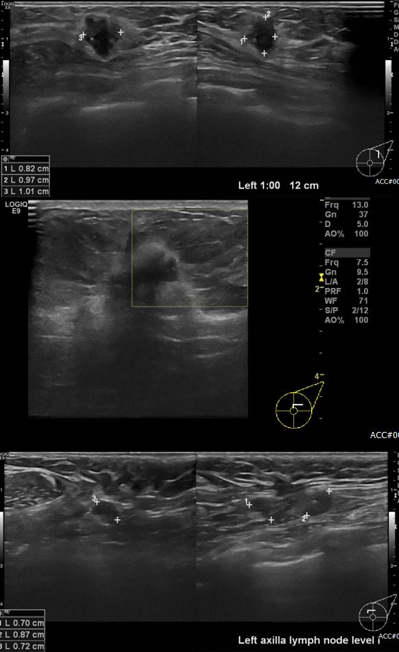
      상기환자 건강 검진상 이상 소견으로 내원하신 60대 여성 분으로  좌측 1시 방향에서

12 cm 떨어진 거리의 혹과 1시방향 유두 밑 각각 조직검사 시행하여 좌측 침윤성 유관암

진단 되었으며, 겨드랑이 림프절 비대부 세침검사 시행하여 좌측 전이암 진단 되었습니다. 

 

0개의 코멘트가 있습니다.