암진단 사례

아산유외과
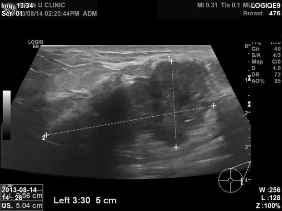
암진단 사례입니다.

내용보기
아산유외과 개원 후 19번째 유방암 진단.
작성자 관리*** 등록일 2014-10-17 10:58:49 조회수 693
첨부파일 첨부파일 없음

 

 

 

3개월 전부터 왼쪽 유방에 만져지는 유방 멍우리가 있으나, 

 

개인사정으로 인해 바빠서

 

하루이틀 미루다 인터넷을 통해 본원 진료 예약 하고,

 

초음파와 조직검사를 시행받은 35세 여자분이십니다.

 

안타깝게도 겨드랑이 임파절에도 전이가 된 만큼 진행이 되신 상태입니다.

 

아직 미혼이라 더 안타깝고요, 힘내셔서 빠른 쾌차를 기도할 뿐입니다.

 

만져지는 멍우리는 미루지 말고 검사 받으시길 바랍니다.
 

 

0개의 코멘트가 있습니다.