암진단 사례

아산유외과
암진단 사례입니다.

내용보기
아산유외과 개원후 갑상선암 진단 7.
작성자 관리*** 등록일 2014-10-17 10:53:03 조회수 717
첨부파일 첨부파일 없음

 

 

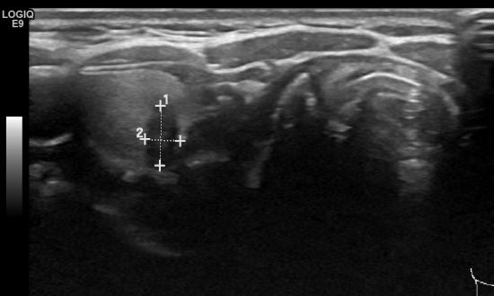
건강검진센타에서 의뢰되신 44세 여자분이시며 갑상선우엽에
0.6cm의 작은 혹이 있어
 

원 미세침세포검사상 유두상암 진단되셨습니다.
 

1cm미만의 혹을 발견해 내는 갑상선암의 진단율이
높아져
 

 

최근갑상선암의 발생률이 올라간 듯 합니다.
 

감사합니다.
 

0개의 코멘트가 있습니다.