암진단 사례

아산유외과
암진단 사례입니다.

내용보기
아산유외과 개원후 401번째 유방암진단
작성자 관리*** 등록일 2016-08-12 15:05:48 조회수 819
첨부파일 첨부파일 없음

 

   

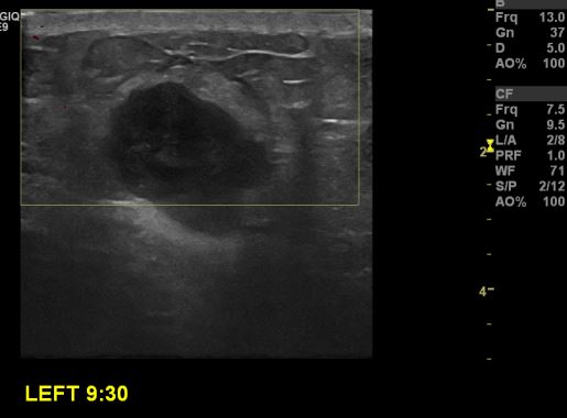
    상기환자 좌측 유방에 만져지는 멍울로 내원하신 30대 여성분으로 좌측 9시30분 방향에

  만져지는 멍울 조직검사 시행하여 좌측 침윤성 유관암 진단 되었습니다. 

 

0개의 코멘트가 있습니다.