암진단 사례

아산유외과
암진단 사례입니다.

내용보기
아산유외과 개원후 갑상선암 진단 6.
작성자 관리*** 등록일 2014-10-17 10:51:35 조회수 689
첨부파일 첨부파일 없음

 

 

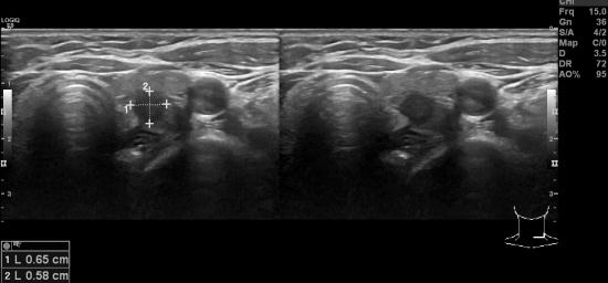
유방암 수술후 재발 검사위해 시행한 PET scan상
갑상선에 이상소견 의심되어
 

본원에서 갑상선 초음파 및 미세침흡인세포 검사 시행하셨습니다.
 

갑상선의 유두상 암으로 나왔으며

 

다행이 크기는 0.6cm정도로 수술로 완치가 될 정도로 예후가 좋은
 

경우라 마음이 덜 무겁습니다.
 

이렇듯, 갑상선암은
초기에는 증상이 없는 경우가 많습니다.
 

사합니다.
 

0개의 코멘트가 있습니다.