암진단 사례

아산유외과
암진단 사례입니다.

내용보기
아산유외과 개원후 394번째 유방암진단
작성자 관리*** 등록일 2016-07-22 17:08:56 조회수 847
첨부파일 첨부파일 없음

 

 

 

 

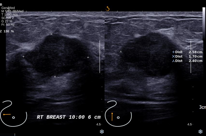
  한달전에 우측유방 멍울 발견하여 정밀검사위해 내원하신 50대 여자분으로 초음파진행후

우측유방 10시방향으로 의심스런 혹이있어 중심핵생검 실시한후 침윤성 유관암 진단되셨습니다 

0개의 코멘트가 있습니다.