암진단 사례

아산유외과
암진단 사례입니다.

내용보기
아산유외과 개원후 393번째 유방암진단
작성자 관리*** 등록일 2016-07-22 17:01:44 조회수 805
첨부파일 393.박영이.jpg

 

 

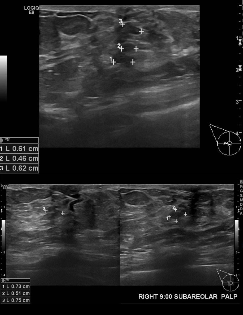
   상기환자 우측유두분비물로 2014년부터 추적관찰하시던 60대여자분으로

 2016년 6월  초음파 진행하고 우측유방 7시~9시방향으로 Excision 시행한후 

 침윤성유관암 진단되셨습니다 

0개의 코멘트가 있습니다.