암진단 사례

아산유외과
암진단 사례입니다.

내용보기
아산유외과 개원후 391번째 유방암진단
작성자 관리*** 등록일 2016-07-15 14:25:54 조회수 812
첨부파일 첨부파일 없음

 

 

 

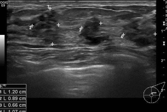
  건진상 이상소견 있어  타원에서 좌측유방2시 방향으로 조직검사 실시후 양성소견진단받고 내원한 40세 여자환자분으로 본원에서 맘모톰 실시후 침윤성유관암진단되셨습니다. 

0개의 코멘트가 있습니다.