암진단 사례

아산유외과
암진단 사례입니다.

내용보기
아산유외과 개원후 389번째 유방암진단
작성자 관리*** 등록일 2016-07-08 13:08:32 조회수 812
첨부파일 첨부파일 없음

 

 

 

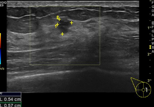
      상기환자 유방의 통증으로 내원하신 40대 여성 분으로 우측 3시 방향 의심되는 혹

  조직검사 시행하여 비정형 세포 관측되어 맘모톰 시행한 결과 우측 침윤성 유관암 진단 되었습니다.
 

0개의 코멘트가 있습니다.