암진단 사례

아산유외과
암진단 사례입니다.

내용보기
아산유외과 개원후 386번째 유방암진단
작성자 관리*** 등록일 2016-07-01 17:40:37 조회수 796
첨부파일 첨부파일 없음

 

 

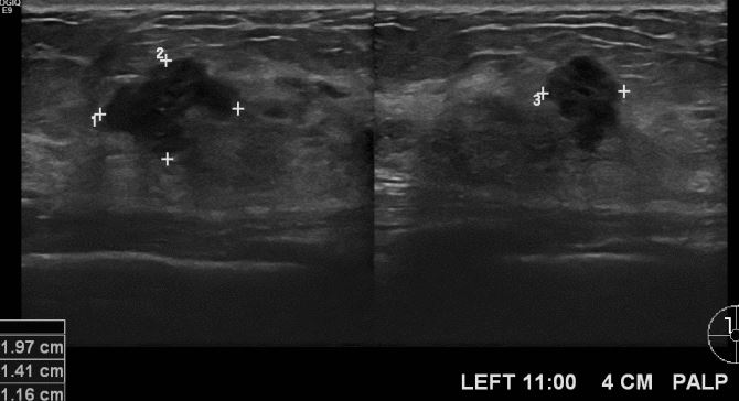
    상기환자 좌측 유방에 만져지는 멍우리로 내원하신 50대 여성분으로 좌측 11시 방향에서 4cm 떨어진 거리의 만져지는 멍우리 조직검사 시행하여 좌측 침윤성 유관암 진단되었습니다.
 

0개의 코멘트가 있습니다.