암진단 사례

아산유외과
암진단 사례입니다.

내용보기
아산유외과 개원후 378번째 유방암진단
작성자 관리*** 등록일 2016-06-17 13:10:25 조회수 834
첨부파일 첨부파일 없음


 

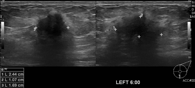
       건강검진상 이상 소견으로 내원하신 60대 여성 분으로 좌측 6시 방향의 의심스러운 혹

   조직검사 시행하여 좌측 침윤성 유관암 진단 되었습니다. 

 

0개의 코멘트가 있습니다.