암진단 사례

아산유외과
암진단 사례입니다.

내용보기
아산유외과 개원후 376번째 유방암진단
작성자 관리*** 등록일 2016-06-11 09:23:37 조회수 965
첨부파일 첨부파일 없음

 

 

 

 

  

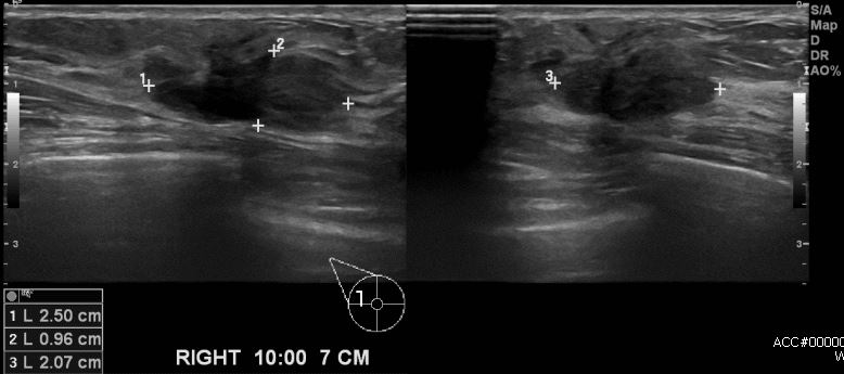
     우측 유방에 만져지는 멍우리로 내원하신  50대 여성분으로 우측 10시 방향에서 7cm

 떨어진 거리의 혹 조직검사 시행하여 우측 침윤성 유관암 진단되었습니다. 

0개의 코멘트가 있습니다.