암진단 사례

아산유외과
암진단 사례입니다.

내용보기
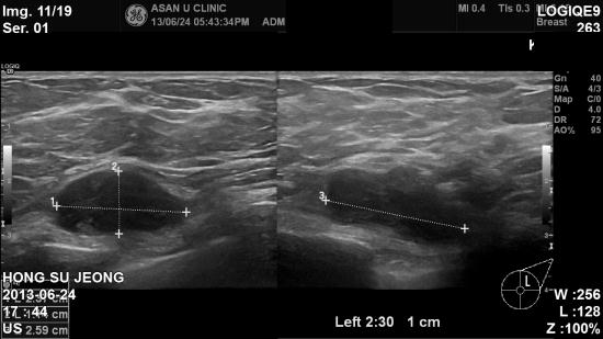
아산유외과 개원 후 17번째 유방암 진단.
작성자 관리*** 등록일 2014-10-17 10:29:01 조회수 713
첨부파일 첨부파일 없음

 

 

팔에 뭐가 잡혀져 유방을 뒤적이다가 몽우리가 있다고 방문하신
만 76세 여자분입니다.

본원에서 시행한 조직검사상 가장 흔한 유방의 유관암이 아니고

림프종으로 경부종괴에서도
동일한 소견나와 항암치료등 위해 서울아산병원에서 치료예정이십니다.

연세가 많으셔서 잘 견디실지 모르지만 좋은 결과 있으시길
기도합니다.

감사합니다.
 

0개의 코멘트가 있습니다.