암진단 사례

아산유외과
암진단 사례입니다.

내용보기
아산유외과 개원후 366번째 유방암진단
작성자 관리*** 등록일 2016-04-23 13:13:49 조회수 868
첨부파일 첨부파일 없음

 

 

 

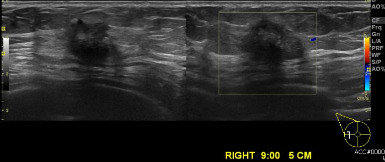
       우측 유방에 만져지는 멍울로 내원하신 60대 여성 분으로  우측 9시 방향에서 5cm 거리의 만져지는 혹 중심핵생검 시행하여 우측 침윤성 유관암 진단 되었습니다.
 

0개의 코멘트가 있습니다.