암진단 사례

아산유외과
암진단 사례입니다.

내용보기
아산유외과 개원 후 16번째 유방암 진단.
작성자 관리*** 등록일 2014-10-17 10:25:29 조회수 700
첨부파일 첨부파일 없음




 

 

온몸이 아프기 시작하여 여기저기 점검하다가  

 

우측 유방에
멍울을 발견하신 58세 여자분이십니다.

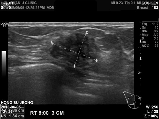
겨드랑이나 다른 부위 임파절 전이 의심소견 없이

우측 유방에만 2.15cm
의 종괴가 침윤성 소엽암으로 진단되셨습니다.

매달 유방자가검진을 하다가 지난달만 못했다고 안타까워하시는 모습이


가슴이 아프지만 가끔 자가검진을 열심히 하시는 분들도 놓칠 수 있는 게 사실입니다.

치료 잘 받으면 완치할 수
있습니다.

힘 냅시다. 감사합니다.
 

0개의 코멘트가 있습니다.