암진단 사례

아산유외과
암진단 사례입니다.

내용보기
아산유외과 개원후 358번째 유방암진단
작성자 관리*** 등록일 2016-04-09 11:02:40 조회수 839
첨부파일 첨부파일 없음

 

 


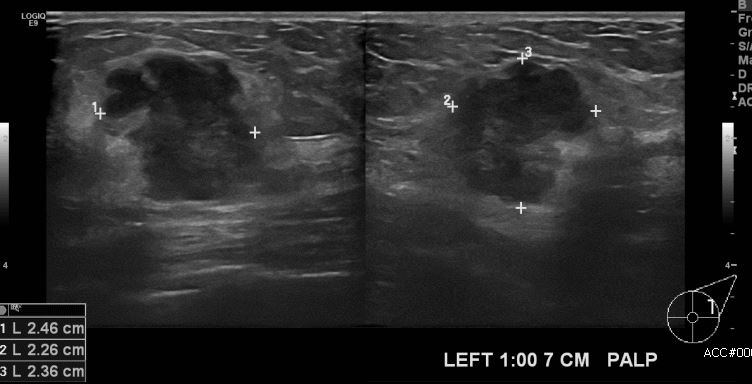
      좌측 만져지는 멍우리로 내원하신 50대 여성 분으로 좌측 1시 방향에서 7cm 떨어진

거리의 만져지는 혹 중앙핵생검 시행하여 좌측 침윤성 유관암 진단 되었습니다. 

0개의 코멘트가 있습니다.