암진단 사례

아산유외과
암진단 사례입니다.

내용보기
아산유외과 개원 후 15번째 유방암 진단.
작성자 관리*** 등록일 2014-10-17 10:22:56 조회수 772
첨부파일 첨부파일 없음

 

 

 

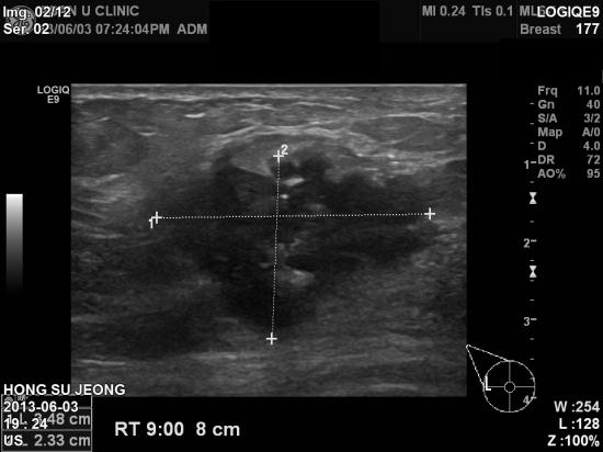
9년전 상피내암, 즉 0기암으로 수술후 2년동안 괜찮아보여


정기검진없이 지내시던 분으로

오랜만에 의료보험공단의 건강검진으로 이상소견이 나와

과거 우측 수술부위와
우측 겨드랑이에 유방암이 진단 되셨습니다.

방심은 절대 금물입니다.

감사합니다.

 

0개의 코멘트가 있습니다.